美容歯科治療といっても様々
お口元が美しい方々は、皆さんまめに美容歯科などのクリニックで、きちんとした治療や定期的なケアを受けていらっしゃる方がほとんどです。では一体、どんな治療を受けているのでしょうか?「美容歯科治療」といっても、治療の方法や施術のポイントは様々です。一般的な美容歯科治療を、1つずつ具体的にご紹介していきます。手軽で、歯を削らず白くする!ホワイトニング治療
手軽で、歯を削らずに白くすることの出来る治療が、ホワイトニング治療です。一般的にも広く普及していて、市販のホワイトニンググッズなども沢山売られています。ホワイトニング治療は、大きく分けてオフィスホワイトニングとホームホワイトニングに分けられます。オフィスホワイトニングはクリニックなどで、強めの薬剤を使用して歯の白さと明るさをしっかりと上げるものです。ホームホワイトニングはご自宅などで行うもので、オフィスホワイトニング後の色戻りを防ぎながら、白さを定着させるために行います。
きちんと効果のあるホワイトニング治療は、この2つのホワイトニングを上手く組み合わせて行います。また使用する薬剤や施術方法は、常に最新で安全性の確認された、もっとも効果的なものを使用することも大切です。
撮影前にモデルさんがホワイトニングを行ってお顔全体の明るさをアップさせたり、定期的な口元メンテナンスとしてこまめに行われる方が多くいらっしゃいます。
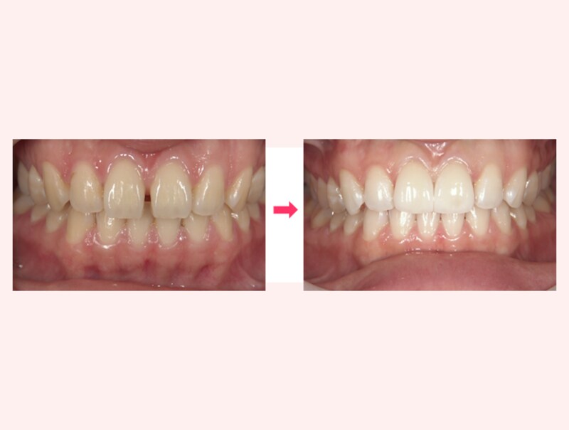
ホワイトニングよりも白く!ラミネートベニア治療
ホワイトニング治療よりも、もっと歯を白くしたい場合にはラミネートベニア治療がオススメです。歯の表面を削ってセラミック製のシェル(薄片)をセットする治療ですが、削る量がごくごくわずかなので、身体への負担も少ない治療法です。他にも、ホワイトニングでは効果が薄くなりがちなテトラサイクリン歯治療や、軽度の歯並びの乱れを整えることも出来ます。
ラミネートベニア治療はごく薄いセラミック製のシェルをセットしますが、下の歯が透けて見えるほどの薄さになりますので、仕上がりの色味や、セットする際の接着剤の色にもこだわることが大切です。接着剤には何種類かの色がありますので、接着力の弱い見本で、何度か仕上がりをチェックすることが大切です。(この工程をトライ・インと呼びます。)
次のページでは、歯並びや歯の形までを完璧にするセラミッククラウン治療と、芸能人の治療のポイントをご紹介します。














