歯のホワイト二ング・口臭対策/歯のホワイトニング

芸能人の歯の白さとホワイトニング(2ページ目)

雑誌やテレビに出てくるどの芸能人の歯を見てもみんな白くて整った歯並び……誰でも一度は憧れたことがあるでしょう。そんな芸能人の歯の秘密について、審美歯科視点から解き明かしていきます。

石井 さとこ

石井 さとこ

歯のホワイトニング・口臭対策 ガイド

ホワイトホワイトデンタルクリニック院長・審美歯科ドクター・口元美容スペシャリスト

プロフィール詳細執筆記事一覧

芸能人はホワイトニングをしているの?

昔も今も芸能人は歯が命

昔も今も芸能人は歯が命

多くの芸能人はホワイトニング、もしくは他の方法で歯を整えていると言われています。なぜかと言うと、外国では白い歯はステータスの一つとされています。真っ黄色な歯では、審美意識の高い外国では受け入れてもらえないからですね。また、最近はホワイトニングがとてもメジャーになってきたので、芸能人だけでなく一般の方もやっている方がとても多くいらっしゃいます。歯の歯石や着色を落とすような感覚で、ホワイトニングをされているようですよ。

ホワイトニングをしても白くならなかったら?
テトラサイクリン歯?

子供の頃に飲んだ抗生物質の副作用で、歯が灰色や濃い縞模様になってしまう方がいらっしゃいます。歯科用語では“テトラサイクリン歯”と呼ばれています。この歯は、ホワイトニングをしても真っ白になるということが難しいとされています。もちろん、ホワイトニング剤を浸透させるので全く変化無しというわけではありません。少しは白めになるのですが……みなさんが想像する真っ白な歯にならないのが現状です。そこで、テトラサイクリン歯の方には“ラミネートベニア治療”をおすすめしています。ラミネートベニア治療とは、歯の表面を薄く削り、貝殻のような薄さのセラミックを貼りつける治療のこと。どんなに色が濃いテトラサイクリン歯の方でも、芸能人のような真白い歯を手に入れることができます。また、ラミネートベニアの色も選ぶことができるので、自分の気に入った色を選ぶことができますよ。治療も最短23回通院するだけで終えることができます。

芸能人のような歯並びを手に入れたい!

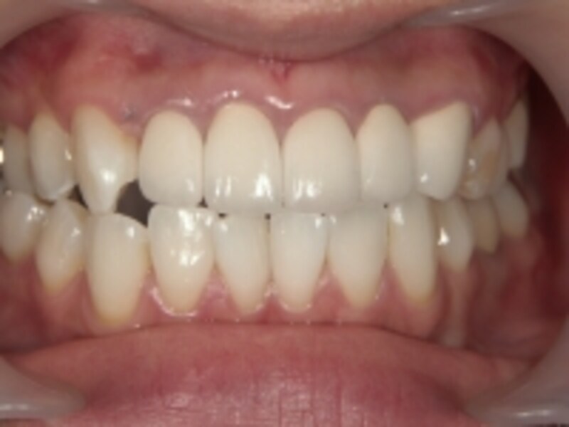
セラミック治療後

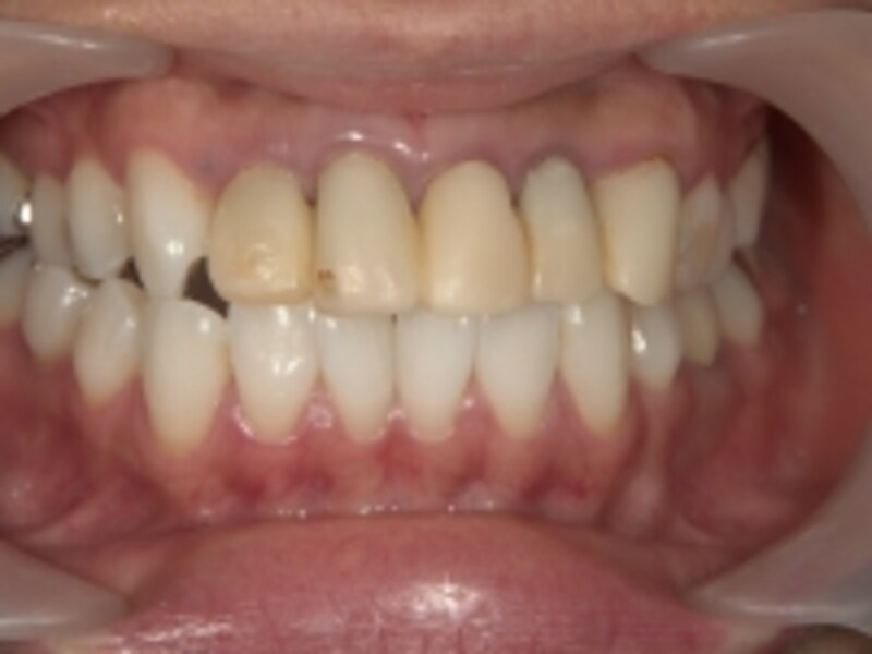
セラミック治療前

芸能人の口元でよく注目されるのが、歯並びです。どの雑誌を見ても、女優さんやモデルさんの歯は美しく整っているはず。では、『みんながみんな、歯並びが良く生まれてくるの?』という疑問が出てきますね。答えはNOです。もちろん、生まれつき歯並びが整っている女優さんやモデルさんはいますよ。しかし、そうではない人も大勢。そんな歯並びにコンプレックスを持っていた芸能人が歯を整えるのに利用するのが“セラミック治療”。

 
セラミック治療後

セラミック治療後

セラミック治療とは、歯の周りをぐるりと削り、審美的に優れたセラミックの素材の歯を被せます。セラミック治療の最大の利点は、歯の周りをぐるりと削るので歯並びを最大限美しくできること。どんな歯並びの方でも、短期間で歯を整えることができます。歯並びを整えるのは矯正治療も有名ですが、矯正治療が約3年治療期間がかかるのにくらべ、セラミック治療は1カ月弱で終了することもできます。この短期間というのが、寝る間もないほど忙しい芸能人に人気のようですよ。また、セラミックは色が豊富!ラミネートベニヤにくらべても、多くの種類が用意されているのです。スポーツ選手のように紙のような白さにしたい方や、雑誌のモデルのような白さにしたい方など、ご希望の白さをご用意できます。ホワイトニングではならないような白さと整った歯並びを手に入れることができるでしょう。


自分にあった治療を正しくチョイスして

困ったときはクリニックに相談!

困ったときはクリニックに相談!

今回は芸能人のように歯を白くする、歯並びを整えるということで、ホワイトニング、ラミネートベニア治療、セラミック治療をご紹介させて頂きました。大切なのは、自分に合った方法を使って歯を美しくすること。歯に自信が持てるようになると、次第に笑顔が増え、明るい気持ちになり、どんどん魅力的になります。私はそういった患者さんをたくさん見てきました。みなさんも、素敵な口元を手に入れてみてください。目指せ!美歯ライフ!
【編集部おすすめの購入サイト】
Amazonで口臭対策用品をチェック!楽天市場で口臭対策用品をチェック!
  • 前のページへ
  • 1
  • 2
※記事内容は執筆時点のものです。最新の内容をご確認ください。
※個人の体質、また、誤った方法による実践に起因して肌荒れや不調を引き起こす場合があります。実践の際には、必ず自身の体質及び健康状態を十分に考慮し、正しい方法で行ってください。また、全ての方への有効性を保証するものではありません。

あわせて読みたい

(ミーコ)明日きれいになれる!ビューティ特集&コラム

カテゴリー一覧

All Aboutサービス・メディア

All About公式SNS
日々の生活や仕事を楽しむための情報を毎日お届けします。
公式SNS一覧
© All About, Inc. All rights reserved. 掲載の記事・写真・イラストなど、すべてのコンテンツの無断複写・転載・公衆送信等を禁じます