歯のホワイト二ング・口臭対策/歯のホワイトニング

芸能人の歯の白さとホワイトニング

雑誌やテレビに出てくるどの芸能人の歯を見てもみんな白くて整った歯並び……誰でも一度は憧れたことがあるでしょう。そんな芸能人の歯の秘密について、審美歯科視点から解き明かしていきます。

石井 さとこ

石井 さとこ

歯のホワイトニング・口臭対策 ガイド

ホワイトホワイトデンタルクリニック院長・審美歯科ドクター・口元美容スペシャリスト

プロフィール詳細執筆記事一覧

ホワイトニング・セラミック・ラミネートベニア、どれなら歯が白くなるの?

「なんで芸能人は歯が白いの?」
「女優の●●のような歯の色にしたいのだけど……」
など、ホワイトニング専門の歯科医師をしていると、患者さんだけではなくお友達からも、歯についての相談をされることがよくあります。その中でも、モデル・女優などメディアに多く出ている方たちの歯にあこがれる方が多くいらっしゃいます。たしかに雑誌やテレビで歯並びの整った色も真っ白な歯を見せた笑顔はとっても魅力的ですよね。今回は、皆さんが憧れる芸能人の美しい歯について、ホワイトニング・セラミック・ラミネートベニアなどのさまざまな治療方法を交えてご説明させて頂ければと思います。

ホワイトニングとは?

ホワイトニング前

ホワイトニング前

ホワイトニングとは、自分の神経の通っている自分の歯を、特殊なお薬で漂泊し、歯の色を白くしていく治療です。方法としては、着色や歯石をきれいに落とした歯にジェルをのせて、ジェルを落とし、また歯の上にジェルをのせます。それを繰り返すことによって、だんだんと歯の色を白くしていきます。

 

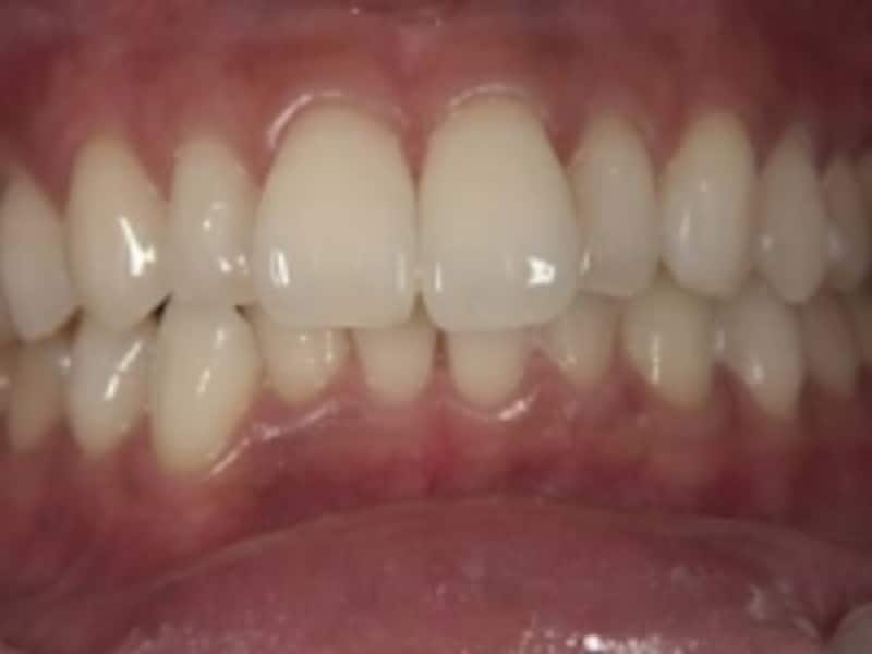
ホワイトニング後

ホワイトニング後

よく聞かれるのが、「ホワイトニングって歯を削ったり溶かしたりするの?」という質問。答えはNO。ホワイトニングのジェルは歯周病の治療に使う薬と同じ成分でできています。今でも多くの歯科医院では使われている薬なので、歯を溶かしたり、もろくしたりすることは決して有り得ませんよ。歯に負担をかけたくない人にも安心してお勧めすることができます。また、色というのは不思議なもので、ホワイトニングをすると歯の色が白くなるだけではなく、透明感が出るので、歯並びが良くなったように印象づけることができます。本当は歯の色より歯並びが気になっていたのに、ホワイトニングで歯を真っ白にしたら気にならなくなったという患者さんもいらっしゃるのですよ。

  • 1
  • 2
  • 次のページへ

あわせて読みたい

(ミーコ)明日きれいになれる!ビューティ特集&コラム

カテゴリー一覧

All Aboutサービス・メディア

All About公式SNS
日々の生活や仕事を楽しむための情報を毎日お届けします。
公式SNS一覧
© All About, Inc. All rights reserved. 掲載の記事・写真・イラストなど、すべてのコンテンツの無断複写・転載・公衆送信等を禁じます