枕の選び方・調整法で重要な「高さ」
枕選びは楽しいですが、枕難民にならないように
枕が原因の身体の不調……肩こり、腰痛、いびき、首の痛みなど
枕は、高すぎても低すぎても、身体の調子を悪くします。枕が高すぎると、首や肩の筋肉に負担がかかり、のども圧迫されてしまいます。そのため、目覚めたときに首の痛みや肩こりを感じたり、眠っている間にイビキをかいたりします。首や肩の痛み、腕や手指のしびれがある方は、頸椎(くび)の症状一覧をご参照下さい。さらに、高すぎる枕を使うと、仰向けの姿勢がつらくなるので、横向きの姿勢が増えます。「横向きでないと眠られない」 という人は、もしかすると、枕の高さが合っていないのかもしれません。試しに枕を少し低くして、寝心地を確かめみてください。
健康な人の首の骨は、横から見ると 「C」 字状にカーブしています。ところが枕が低すぎると、首の骨の自然なカーブがなくなり、首の痛みや肩こりが起こります。また、頭が心臓より低い位置になるので、頭や顔の血液の循環が悪くなります。そのため、朝に顔がむくみやすくなります。
寝姿にも、チェックポイントがあります。枕を使用しているのにも関わらず、自分の手を頭の下に入れて寝ているようならば、それは枕が低すぎるためです。また、枕を二つ折りにしたり、立てて使ったりするのも、枕が低いからです。一方、知らないうちに枕をはずしてしまうのは、枕が高すぎて眠りづらい証拠です。枕と睡眠の関係については、「「枕が変わると眠れない」は本当!旅先での賢い対処法」も併せてご覧下さい。
枕の選び方1:性別、体格、姿勢を考慮した高さ調節を
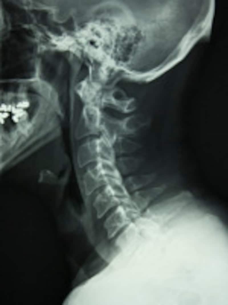
![]() |
| レントゲン写真を見ると、首の骨はC字状にカーブしています |
仰向けに寝て、額と鼻の先端を結んだ線が床に対して5度のとき、首のカーブは立っている状態と同じになります。ですから、この寝姿を保てる枕が良い枕ということになります。
このときの枕の高さは、1~6センチと幅があります。性別や体型、体格、寝つくときの姿勢によっても違いがあり、枕の高さは非常に個性的だということです。たとえば、女性の平均は3センチ弱ですが、男性では4センチ前後が平均的です。
太っている人は、標準的な体重の人よりも頭部や肩に重みがあるため、枕がより沈み込みます。その分を補って、標準体重の人よりも1~2センチ高い枕が合います。また、猫背の人は背中に丸みがある分、標準的な人プラス0~1センチ高い枕がお勧めです。
横向きで寝つく人は肩幅を考慮して、仰向けの高さプラス0~1センチ、うつ伏せ寝の場合は、仰向けの高さマイナス1~2センチがよいでしょう。
また、敷き寝具の種類が変わると、理想の枕の高さも変わります。和風の敷き布団や硬めのベッドに比べて、軟らかいベッドは沈み込みが大きいので、1センチ低めの枕を選びます。ウォーターベッドでは枕をしなくても良いのですが、するなら標準から1~2センチ低い枕がお勧めです。枕については、フランスベッドのHP内にある「枕の基礎知識」も併せてご覧下さい。
枕の選び方2:横向きで寝返りしやすい高さ調節を
![]() |
| 健康な人でも寝返りは、一晩に30回ほどしています |
寝返りは、同じ場所が身体の下になり続けないようするために行われます。ですから寝返りしにくいと、眠りが浅くなり、身体の疲労も残ってしまいます。簡単に寝返りができるかどうかは、敷き布団やマットレスの硬さも関係しますが、枕の高さも重要なのです。
実際に枕を調整するには、まず横向きに寝ます。そのときに、顔の中心線と胸の中心線が一直線になって、しかも水平面と平行になれば、それが理想的な高さの枕です。枕は、中央部も両サイドも同じ高さにして、スムーズに寝返りが行えるようにします。
この枕をして仰向けでレントゲンを撮ると、首の骨が水平面に対して約15度の角度になっているのがポイントです。理想的な高さの枕を使うと、肩こりや頭痛、首の痛みが軽くなるだけでなく、頚椎の中にある神経の通り道が広がっていることが、MRI検査で実証されています。
枕は、人生の3分の1をともに過ごす睡眠の友です。流行や人の勧めに惑わされず、本当に自分に合ったものを探し出したいものです。枕計測を自宅で行って見たい方は、「誰でも玄関マット枕計測が出来る! 山田朱織枕研究所」をご参照下さい。また、山田朱織枕研究所が開発した快眠ベッドが「枕で有名な整形外科医が開発!あなただけの快眠ベッド」で紹介されています。
【関連記事】









