歯の中からも外からも、一気に美しく!
オフィスホワイトニングのキット。ジェルはもちろんすべてのアイテムが使い切りです
オフィスホワイトニングは主にエナメル質(外部組織)を、ホームホワイトニングは主に象牙質(内部組織)を白くしていくものなので、より完璧な美しさをめざすなら、両方を重ねて行うことが正解なのです。
自分の歯に近い色をピックアップし、施術後見比べると歴然の差があるんです!
それでは手順をおっていきましょう。担当衛生士の座波 薫(ざは かおる)さんから、本日の治療手順の説明を受けた後、色見本をもとに自分の歯が今どの程度の白さなのかを確認します。
基本は上と下、両方の型をとります
ホームホワイトニング用のトレーを作るため、上下の歯の型どりを行います。 型が取れたらホームホワイトニングのための作業は終了。あとはトレーができるのを待つのみ。
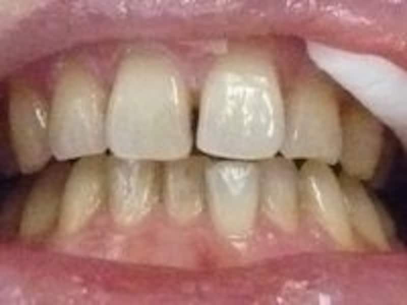
ぱっと見、色ムラと表面の汚れが目立ちます
こちらがモデルさんの施術前画像。実はモデルさん、2年前に一度、オフィスホワイトニングを受けた事があるそうです。
「直後は白くなったはずなんですが……すぐに戻ってしまって。あまり覚えてないんです」と正直なコメントをもらいました。
ちなみにクリニックで用意されていた色見本表では、モデルさんの歯は丁度中間くらいの白さでした。
オフィスホワイトニング開始!












