漏斗胸とは
漏斗胸
生まれつきもしくは思春期までに発病する胸郭の変形で、中央部の胸骨が陥凹している病気です。
漏斗胸の頻度・性差
程度の軽い人を含めれば、出産1000人に1人の割合で出現すると推定されています。3:1で男性に多い疾患です。漏斗胸の原因
漏斗胸の人の家族に30%程度の漏斗胸の発生が報告されています。明確な原因は特定されていませんが、子宮内での圧の上昇が横隔膜の異常運動を生じ、胸骨を牽引することにより胸郭の変形が生じるという説があります。漏斗胸の診断
臨床症状……胸郭の変形、呼吸、心臓の状態で漏斗胸と診断します胸部X線……心臓、肺を診断
胸部CT……胸郭の形態を診断
心電図……心臓の不整脈などを診断
肺機能検査……時として肺機能異常がみられます
漏斗胸の治療法
●Ravitch法20年前までは直接皮膚を切開して、胸骨、肋軟骨、肋骨の組み換えを行い胸部の陥凹を矯正する手術が主流でした。胸郭の形態は良好となっても、比較的大きな傷跡が残ることが問題でした。
以前の手術法では、大きな傷跡が残りました。
●Nuss法
アメリカの小児外科医が始めた内視鏡補助下に大きな鉄製の金属を胸腔内に入れてそれを半回転させ、陥凹した胸郭を治療します。全身麻酔下の手術で入院期間は1週間前後です。
まず、細い金属の鉗子と呼ばれる道具を片側の胸腔内に挿入します。
胸の小さな傷から鉗子と呼ばれる細い道具を胸腔内に挿入します。
次にこの鉗子を反対側の反対側の胸腔内に誘導します。
鉗子の先端を反対側の胸腔内に誘導します。
次に反対側の胸壁から、スチールバーとよばれる湾曲した太い金属の太い棒の先端を入れ、先程の鉗子の先端でつまみ、鉗子を手前に引っ張り、スチールバーを反対側の胸壁から胸骨の下を通し、手前の胸壁まで誘導します。
反対側から手前の胸壁まで誘導されたスチールバー。
このカーブしたスチールバーを180度回転させると、陥凹した胸骨が下の金属に押し出されて、胸郭全体の形が矯正されます。
180度回転したスチールバー。胸骨が前に押し出されます。
スチールバーを胸壁に固定し、創を閉鎖すると手術は終了です。
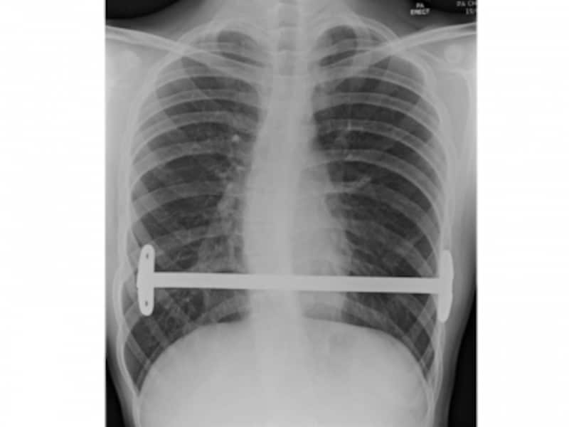
術後のX線像です。
術後の胸部単純X線像。
胸壁に残る傷は短いです。
術前、術後の胸郭の形。







