橈骨遠位端骨折とは
橈骨は前腕にある2つの骨の内の1つで、母指に近い骨です。この骨の端で体の遠くにある部位、手関節部にある部分を橈骨遠位端と呼びます。この部位の骨折を橈骨遠位端骨折といいます。
橈骨は遠位端で手関節を構成しています。
転倒して手をついたり、また直接橈骨に外力が働き受傷します。事故、運動などで発生します。
橈骨遠位端骨折の年齢、性差
運動、事故などに伴い発生する骨折ですので、あらゆる年齢層に発生します。しかしながら10歳までに発生することが比較的多いです。それから骨の強度が減少した骨粗鬆症を発症した高齢者に多数の発生がみられます。橈骨遠位端骨折の症状
骨折した部位の腫脹、疼痛、変形です。通常初期から激痛となることが多く、手関節が動かなくなることもあります。橈骨遠位端骨折の診断
●単純X線単純X線写真は放射線被爆量も少なく、費用もわずか。その場で撮影も終了し当日説明を受けられるので、整形外科では必ず施行します。
手関節単純X線写真。橈骨遠位端に骨折が認められます。
手関節単純X線側面写真。橈骨の骨折部より遠位の骨片が背側に偏位しています。
●CT
単純X線で診断がつかない場合でもCTであれば診断可能です。関節内の骨折を合併していることも多いので、その場合、CTが必要となります。
手関節部3次元CT像。
断層写真から計算で、3次元画像を作成できます。
橈骨遠位端骨折の治療法
橈骨遠位端骨折の治療として保存療法、手術療法の2つの治療法があります。●保存治療
初期治療として骨折した骨をもとの状態に戻す整復を行い、シーネ、ギプスなどの固定を行う保存治療をまず行います。整復の状態がよければ、このまま時間をかけて骨折した部位の骨癒合を計ります。長期間の固定が必要となりますので、運動、仕事の制限があります。
骨折を整復しギプスを巻いた手関節のCT像。このCTでは比較的良好な状態と判断されました。
手関節CT像。別の断面からみると骨折部位に骨欠損が認められます。
このCTでは骨折した部位で骨と骨のすきまが大きくこのまま保存的な固定を行っても骨癒合は得られないと判断し、手術が必要と診断されました。
■鎮痛薬
ボルタレン、ロキソニンなど非ステロイド消炎鎮痛薬(NSAIDと省略されます)を用います。
・ボルタレン……1錠15.3円で1日3回食後に服用。副作用は胃部不快感、浮腫、発疹、ショック、消化管潰瘍、再生不良性貧血、皮膚粘膜眼症候群、急性腎不全、ネフローゼ、重症喘息発作(アスピリン喘息)、間質性肺炎、うっ血性心不全、心筋梗塞、無菌性髄膜炎、肝障害、ライ症候群など重症な脳障害、横紋筋融解症、脳血管障害胃炎。
・ロキソニン……1錠22.3円で1日3回食後に服用。副作用はボルタレンと同様です。
どちらの薬でも胃潰瘍を合併することがありますので、胃薬、抗潰瘍薬などと一緒に処方されます。
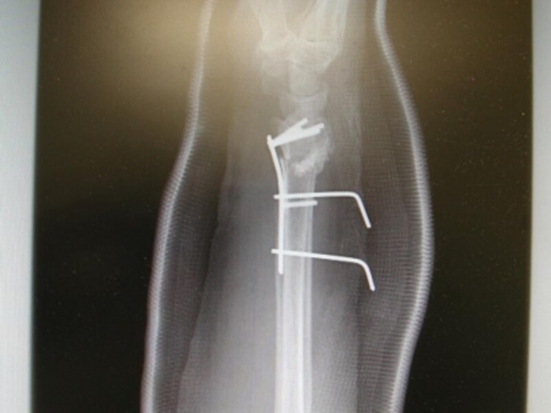
●手術治療
骨片が多数あるもの、骨欠損があるもの、整復した骨片の位置が正常な位置関係にない場合、保存治療で癒合しない場合などが手術の対象となります。
手術で橈骨を金属のプレートで固定しました。
側面像で骨片が良好な位置関係にあることがわかります。
■抜釘術
術後に骨折が治癒した後に固定具を除去します。抜釘術(ばっていじゅつ)と呼ばれます。
手関節部単純X線像。金属製のプレートが除去されました。
手関節単純X線側面像。骨折した遠位の骨片が近位の骨片と直線状に位置しています。







