3月24日は世界結核の日
![]() |
| 結核菌を発見したのはR.Kochです。 |
日本では結核というと時代劇でしばしば取り上げられる新撰組の沖田総司が有名です。また美人薄命という表現があります。現代の都市伝説風解釈では、結核症に伴う貧血のための色白美人で短命…という定義になるようですね。作家では樋口一葉が美人薄命の代表ですね。
結核症は、21世紀の日本でも毎年、3万人の人が発症しています。我が国の結核症による死亡は年間約3000人と推定されています。単一の感染症としては不動の第1位の死亡原因となっているのです。
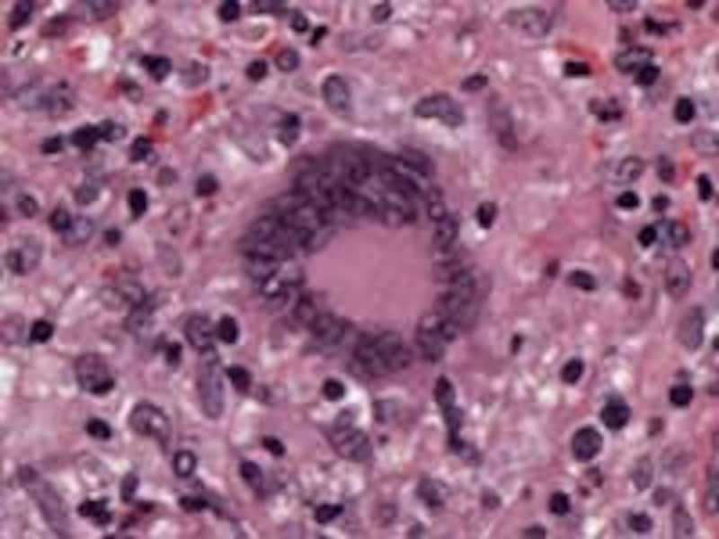
結核はアレルギーの一種?
![]() |
| 結核菌は免疫担当細胞の貪食細胞中で生きています。 |
免疫学の研究において結核は重要な研究対象です。結核菌の特徴は免疫担当細胞に取り憑いて、貪食細胞中で増殖できるという性質を持っていることです。
結核の検査はツベルクリン反応で
![]() |
| 陽性の基準は10mmです。 |
ただし、花粉症とは異なる形式のアレルギー反応です。花粉症の即時型アレルギーに対して、遅延型アレルギーと呼びます。アレルギー反応陽性である事は結核症に対する免疫記憶がある事を意味しています。残念ながら、免疫記憶があっても結核症を発症する事があります。
結核症のトリビアはコッホがツベルクリンを当初はワクチンとして発表した事です。
>>次ページでは、結核予防の現状について解説します。>>










