歯科インプラント

インプラント上部構造の可能性

インプラント上部構造は見た目に直結する重要なファクターです。2つのケースにおける上部構造に求められるもの、そして可能性をお伝え致します。

梅田 和徳

梅田 和徳

歯科インプラント ガイド

歯科医師

現役開業医・歯学博士・口腔外科臨床講師・日本口腔インプラント学会専門医として過去約10000本の歯科インプラント治療を行いながら、全国各地で歯科医師向けに歯科インプラント治療を安全に行うための講演活動を行っております。歯科インプラントと近代歯科治療の基礎知識をわかりやすく解説いたします。

...続きを読む

インプラント上部構造とは?

インプラントの上部構造とその可能性とは?

インプラントの上部構造とその可能性とは?

歯科インプラントはおおまかに3つの部分に分かれます。インプラントの大元で歯槽骨に埋め込む土台の部分、クラウンという義歯にあたる上部構造部分、そして土台とクラウンを繋ぐアバットメント部分です。そもそもインプラント治療は欠損した天然歯を補うことが目的ですが治療に取り組むきっかけは様々であり、日頃の歯磨きなどのメインテナンスを怠った結果大部分の歯を失ってしまう方もいれば、不慮の事故により大切な健康な歯を1本だけ失ってしまうこともあるでしょう。今回は2種類のケースでインプラント治療のゴールでもある上部構造の可能性についてお話しさせて頂きます。

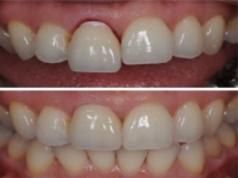
単独歯欠損…前歯を1本だけ失った場合

装着直後と3か月後

装着直後と3か月後

少数の歯を失った場合、周りの健康な歯を傷つけることなく本来の健康な天然歯に近い機能性を取り戻すためにインプラント治療は非常に効果的です。特に前歯の場合は機能性に加えて審美性も求められます。審美性とは簡単にいっても、ただただ白く綺麗な歯を目指して上部構造を取り付ければよいというわけではありません。大切なのは周囲の天然歯との親和性であり、例えば「周囲の歯と形や色が合っていること」「軟組織も天然歯と同じように再現されていること」。つまり歯だけが綺麗なのではなくバランスの良い歯肉の形や色も重要で、このような高い審美性を追求することが大切になってきます。

歯肉貫通部の形は正中を中心にシンメトリックが望ましく、歯と歯の間の尖った三角形の歯肉も美しく獲得できていること。そして、長期的に骨と歯肉をキープするには咬合によるストレスが全体にバランスよくかかることが大切で、その為には正しい位置にインプラントが埋入されていることが絶対的な条件であります。骨のない歯肉部分を貫通するアバットメントは透けてみえたとしても問題の無いように歯と同じ色を使用することがあります。ジルコニアという強度も審美性も十分な素材を使用したアバットメントを使用し、オールセラミック製の上部構造をセット。あとは馴染むのを待ちます。写真は装着直後と3か月後を撮影したものです。

無歯顎…総入れ歯からのインプラント

数本のインプラントで固定する上部構造

数本のインプラントで固定する上部構造

全体的に歯を失ってしまった場合、多くのひとが最初に思いつくのは総入れ歯でしょう。しゃべりにくいだとか食べ物が食べづらくて楽しめないなどのストレスから解放されたいと考えている方がより快適な生活を求めてインプラント治療に進まれることも少なくありません。

無歯顎の場合は全ての歯に対して1本のインプラントを埋入するという方法ではなく、上下の顎に数本のインプラントを埋入し、全体をカバーすることのできる上部構造をセットします。無歯顎になると唇の膨らみがなくなり若々しさをうしなってしまうことを気にされる方も。その場合には人工的な歯肉部分を付与し膨らませることで問題を解消します。

実際の歯肉は時間の経過とともに少しづつ退縮していきますので、装着後数年経過してからでもリペアがしやすいように素材と固定方法を考えて装着することが望ましいでしょう。また、事前に同じ形の固定式仮歯を実際に数か月使用して頂き、どこの歯の減りが大きいか、歯の形や見た目はどうかなどをあらゆる角度から確認して最終的な上部構造のデザインを考え製作することも可能です。

上部構造の可能性

せっかくインプラント治療に踏み切るのなら、高い目標に向かってより理想的な口腔状態を取り戻したいものです。インプラント本体だけでなく、上部構造も様々な素材により多くの色、形を再現できるようになり、歯肉の不足でさえ補うことが出来るようになっています。日々進歩しているインプラント治療最前線。皆さんはどのような理想を追い求めますか?
※記事内容は執筆時点のものです。最新の内容をご確認ください。
※当サイトにおける医師・医療従事者等による情報の提供は、診断・治療行為ではありません。診断・治療を必要とする方は、適切な医療機関での受診をおすすめいたします。記事内容は執筆者個人の見解によるものであり、全ての方への有効性を保証するものではありません。当サイトで提供する情報に基づいて被ったいかなる損害についても、当社、各ガイド、その他当社と契約した情報提供者は一切の責任を負いかねます。
免責事項

あわせて読みたい

カテゴリー一覧

All Aboutサービス・メディア

All About公式SNS
日々の生活や仕事を楽しむための情報を毎日お届けします。
公式SNS一覧
© All About, Inc. All rights reserved. 掲載の記事・写真・イラストなど、すべてのコンテンツの無断複写・転載・公衆送信等を禁じます