理学療法士試験 解剖学の問題傾向
解剖学はとても幅広い分野から出されるため、毎回、出題数が多い教科です。その構成は、発生と組織、骨、関節、筋肉、感覚と受容器、神経解剖、呼吸器の解剖、循環器の解剖、消化器の解剖、泌尿器の解剖が主となっています。特別に出題問題が変わったという印象は少ないですが、過去の出題傾向を見ると神経系の出題率は解剖学科目内で約3割となっており、最後の追い込みをかける際は神経解剖は外せないところです。
また、例年、数問程度ですが、過去にない問題が出る傾向にあります。ここ数年では腹部CTや体表の触診写真等の問題がその例です。あまり新規の問題の予測に振り回されると、思わぬ取りこぼしが起きる為、ここでは昨年出題の問題も含め、過去問題とその解答を一緒にご紹介します。
解剖学の過去問題と解答
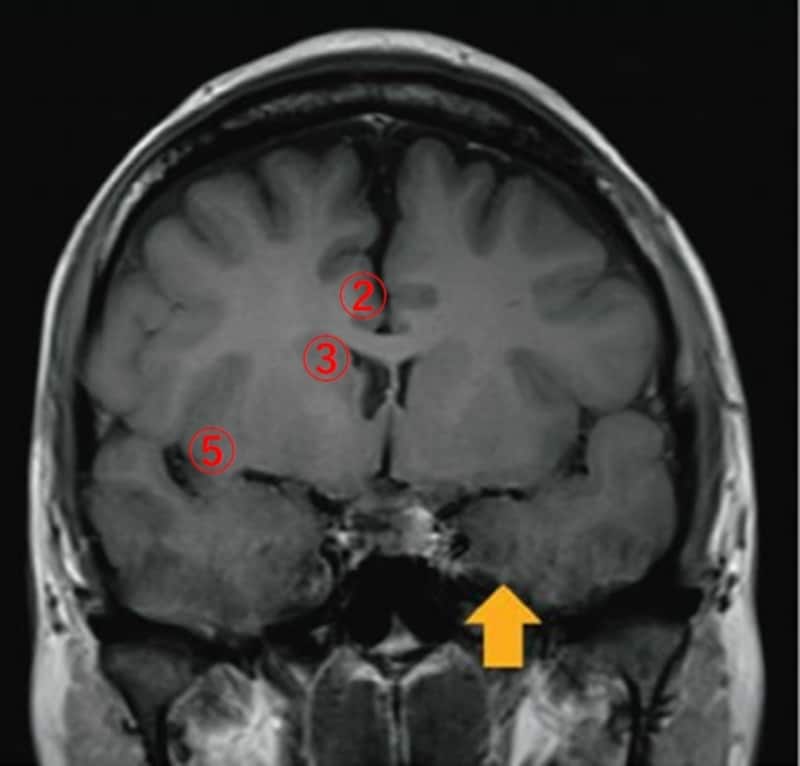
過去問題 第52回(2017年)頭部MRIのT1強調冠状断像を図に示す。矢印の部位はどれか。
- 前頭弁蓋
- 帯状回
- 尾状核
- 海馬
- 島
この答えは【4】の海馬になります。MRI画像はここ10年の国家試験において、共通問題、専門問題問わず必須となっていますので、参考文献などを通じ、しっかり学習することをおすすめします。なお、問いの解答ですが、1の前頭弁蓋に関しては、中心前溝下部と 外側溝上行枝の領域であり、島皮質を覆うようにして存在します。他の領域については画像にて下記画像を確認してください。
なお、画像読影の学習には、下記の文献が役に立ちますので、参考にしてみてください。
舌下神経について正しいのはどれか。
- 舌筋を支配する。
- 両側支配である。
- 神経核は橋にある。
- 脳の背側から出る。
- 味覚の求心路である。
この答えは【1】になります。比較的、過去の問題でもよく見受けられる問題です。落ち着いて舌下神経の特性を考えれば難しくない問題と言えます。正答以外の選択肢についてですが、舌下神経は片側支配であり、神経核は延髄にあります。また、舌下神経は脳の背側ではなく、延髄腹側から出ており、舌の運動に寄与します。なお、味覚の求心路は、舌の前部2/3は顔面神経、後部1/3は舌咽神経となっています。その他、12脳神経の機能と覚え方については「理学療法士に必要な脳神経の覚え方と語呂合わせ」をご覧ください。
過去問題 第51回(2016年)
上腕骨頭遠位部の図を示す。矢印の部位はどれか。
初歩的な骨の部分名称の問題。骨模型や絵に描くなどしてしっかり覚えていればさほど悩む事もない。
- 肘頭窩
- 外側上顆
- 鉤状突起
- 内側上顆
- 上腕骨小頭
この答えは【5】の上腕骨小頭になります。図の骨は上腕骨遠位部前面の図になりますが、まずはこれが理解できないと当然ながら問題を解くことはできません。どの骨をどの角度から見た問題なのかをまずは冷静に見極めましょう。
その他の選択肢ですが、1の肘頭窩は上腕骨遠位部後面にあり間違いになります。2の外側上顆は上腕骨小頭よりも上側(近位)にあり間違い。3の鉤状突起は上腕骨ではなく尺骨の近位部全面にあり間違い。4の内側上顆は、図で案内すると上腕骨遠位部の右側にあり選択肢としては間違いになる。
過去問題 第51回(2016年)
皮膚組織直下に触知できるのはどれか。
- 軸椎の歯突起
- 胸骨の頸切痕
- 上腕骨の結節間溝
- 尺骨の滑車切痕
- 寛骨の寛骨臼切痕
この答えは【2】となります。1の軸椎の歯突起は頚椎の1番にあたる環椎が周囲を取り囲む形となっており皮下直下の触診は不可能。3の上腕骨の結節間溝は上腕骨大結節と小結節の間にあり、上腕二頭筋長頭腱が走行するため皮膚組織直下の触診は困難。4の尺骨の滑車切痕は、上腕骨滑車と関節を形成する部位であり皮膚組織直下の触診はできない。5の寛骨臼切痕も同様で股関節と関節を形成する部位のため触診は困難である。近年、骨の部位の問題も細かい箇所を問う傾向があり、よく復習する必要がある。
過去問題 第51回(2016年)
膜性骨化で形成されるのはどれか。
- 肋 骨
- 頭蓋骨
- 上腕骨
- 手根骨
- 大腿骨
この答えは【1】となります。膜性骨化は骨膜内面から直接的に骨形成されていく骨化です。これに対し軟骨から骨形成されていくのが軟骨内骨化となります。膜性骨化は、頭蓋冠を構成する骨の大部分や、上顎骨、下顎骨などの顔面骨の一部、肩甲骨、鎖骨などの扁平骨で行わます。一方、四肢の長管骨や背骨にあたる椎骨、肋骨などは軟骨内骨化です。また、今後の出題の注意点として、頭蓋底の骨である篩骨、蝶形骨などは軟骨内骨化ですので間違いないように注意してください。









